Menu

Visit our sister practice

Hanwell Dental Centre

Visit our sister practice

Hanwell Dental Centre

service - Lim Dental Practice service - Lim Dental Practice Meet the Team

service - Lim Dental Practice service - Lim Dental Practice Have a Question?

service - Lim Dental Practice service - Lim Dental Practice Subscribe to our Newsletter

service - Lim Dental Practice service - Lim Dental Practice For Patients

service - Lim Dental Practice service - Lim Dental Practice For Dentists

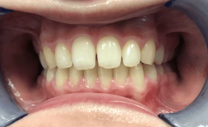
Before - Lim Dental Practice

Before

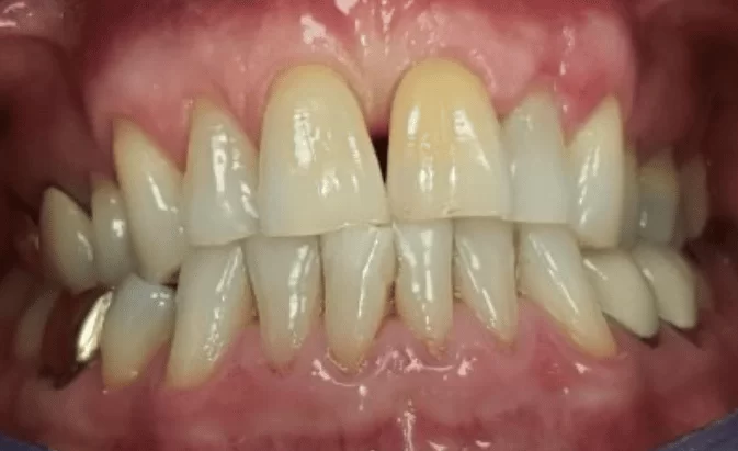
After - Lim Dental Practice

After

Invisalign

Before - Lim Dental Practice

Before

After - Lim Dental Practice

After

Invisalign

Before - Lim Dental Practice

Before

After - Lim Dental Practice

After

Gap Closure

Before - Lim Dental Practice

Before

After - Lim Dental Practice

After

Gap Closure

Before - Lim Dental Practice

Before

After - Lim Dental Practice

After

Internal Whitening

Before - Lim Dental Practice

Before

After - Lim Dental Practice

After

Enlighten Whitening

Our work is our bond

Our aim is to provide our patients with all of the information they need in order to make an informed decision on the type of dentistry that they would like.

Book now
Treatment - Lim Dental Practice

General Dentistry

We focus on the small things to ensure major results.
Treatment - Lim Dental Practice

Cosmetic Dentistry

Minimally invasive treatment, life-altering results.
Treatment - Lim Dental Practice

Teeth Straightening

Satisfaction and positive confidence with Invisalign®.
Treatment - Lim Dental Practice

Dental Implants

Get your dream smile with dental implants.
Treatment - Lim Dental Practice

General Dentistry

We focus on the small things to ensure major results.
Treatment - Lim Dental Practice

Cosmetic Dentistry

Minimally invasive treatment, life-altering results.
Treatment - Lim Dental Practice

Teeth Straightening

Satisfaction and positive confidence with Invisalign®.
Treatment - Lim Dental Practice

Dental Implants

Get your dream smile with dental implants.
Treatments
treatments line white plain shape1
Lim Dental Practice centre symbol1

Exceptional dentistry

“I can smile confidently today because I have received (and continue to receive) the best treatment at this clinic. The staff and practice are exceptional, professional, kind, fr...”

Dela H

Lim Dental Practice centre symbol1

Exceptional dentistry

“Dr Patel is an excellent dentist with a pleasant and friendly manner. He is very knowledgeable but down to earth (not condescending or intimidating like some dentists). He takes...”

CL

Lim Dental Practice centre symbol1

Exceptional dentistry

“Dr Steve is an excellent dentist. He is very knowledgeable, kind and considerate. He guided me through the whole process, recommended care and provided me with options. He stopp...”

Patty H

Lim Dental Practice centre symbol1

Exceptional dentistry

“It’s been almost two years since I went to Lim Dental Practice, and I’m very happy I registered at this practice and got to know Dr Patel. He is very skilled, kind a...”

Naghme A

Lim Dental Practice centre symbol1

Exceptional dentistry

“Dr Patel was amazing at the treatment! I would love to give more than 5 stars because he was so friendly! He took 2 seconds to remove my tooth, and he was so professional with i...”

Ania M

View all testimonials
left quote grey plain icon
right quote grey plain icon
Lim Dental Practice centre symbol1

Exceptional dentistry

“I can smile confidently today because I have received (and continue to receive) the best treatment at this clinic. The staff and practice are exceptional, professional, kind, fr...”

Dela H

Lim Dental Practice centre symbol1

Exceptional dentistry

“Dr Patel is an excellent dentist with a pleasant and friendly manner. He is very knowledgeable but down to earth (not condescending or intimidating like some dentists). He takes...”

CL

Lim Dental Practice centre symbol1

Exceptional dentistry

“Dr Steve is an excellent dentist. He is very knowledgeable, kind and considerate. He guided me through the whole process, recommended care and provided me with options. He stopp...”

Patty H

Lim Dental Practice centre symbol1

Exceptional dentistry

“It’s been almost two years since I went to Lim Dental Practice, and I’m very happy I registered at this practice and got to know Dr Patel. He is very skilled, kind a...”

Naghme A

Lim Dental Practice centre symbol1

Exceptional dentistry

“Dr Patel was amazing at the treatment! I would love to give more than 5 stars because he was so friendly! He took 2 seconds to remove my tooth, and he was so professional with i...”

Ania M

View all testimonials
left quote grey plain icon
right quote grey plain icon

Get in touch

Google Rating
4.7
Google Rating
Google-Review